Arch Clinic
ALL-ON-X Rehabilitation
If you're tired of frequent dental visits due to fractured teeth or an unsatisfactory bite, it might be time for a fresh start.
In some cases, it’s more cost-effective and beneficial to remove all remaining teeth and rebuild from scratch. While it may sound extreme, this treatment is reserved for select cases where it’s the best option. The primary goal is to eliminate infection and reduce future risks of periodontal disease, while also restoring function so that your teeth, joints, and muscles work in harmony.
Arch Clinic
TREATMENT PORTFOLIO
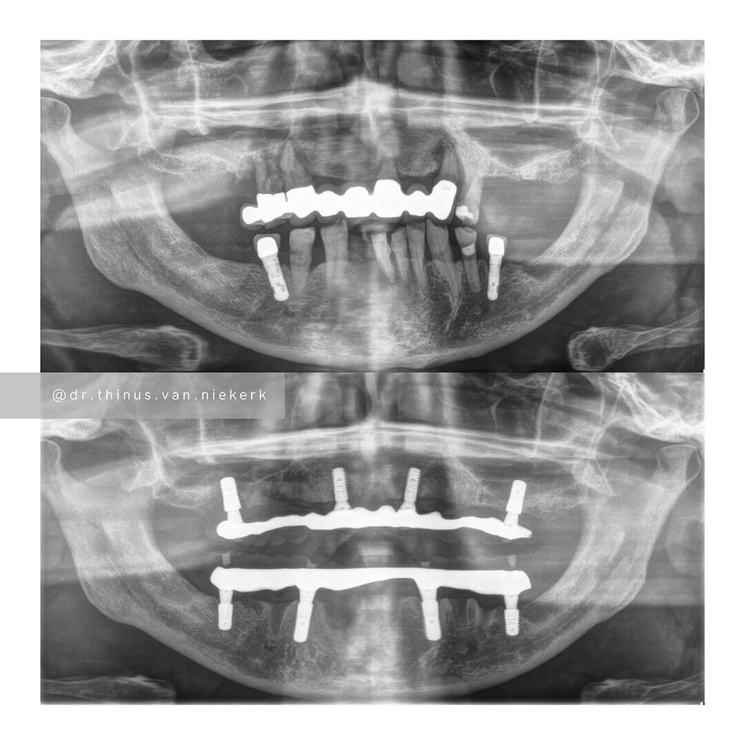
Case 1
TREATMENT OBJECTIVE
The pictures below are before and after images from a typical All-on-Four Rehabilitation.
Besides the glaring obvious improvement of the smile and teeth, you may also notice a
huge change in the upright (vertical) dimension of the patient’s face. This restoration of
vertical height is a big deal in any restorative case as it puts the joints and muscles in
better relation. This alone resolves many of the commonly associated symptoms such
as headaches, earaches and muscle spasms. These symptoms may range from a
mild intensity to complete debilitation.
COMMENTS
This was a landmark case for our clinic – being the first fully digitally-planned upper and lower rehabilitation. This case demonstrated the power and effectiveness of digital implant-surgery planning and CAD design software. No adjustments were needed at the placement of the final lower prosthesis.




Need help?
Frequently Asked Questions
No, there are many different ways to get you a new smile, but none involve you without teeth. Your temporary teeth may be either removable or fixed depending on the case. They not only act as intermediate teeth, but allow us to make unlimited adjustments as we move towards your final new smile.
There are many tools which may be used alongside your usual toothbrush that will make cleaning easier. Our favourite is a waterflosser paired with a good quality Chlorhexidine mouthrinse. We also advise regular visits to our Oral hygienist to keep your prosthesis polished. She may also pick up on any irregularities around the prosthesis which will allow early intervention and quick resolution.
There are generally two types of materials in use today. Both options are available and each offer its own unique pro’s and con’s. The ceramic teeth are by nature far more durable than acrylic teeth. Acrylic teeth are inexpensive and easily replaced. On average they should be replaced after 5-10 years depending on their use.
RESTORE CONFIDENCE




